Implanty zębowe
Leczenie implantologiczne od lat 80. XX wieku odmienia życie milionów pacjentów z częściowymi lub całkowitymi brakami uzębienia, oferując im nową jakość życia i pewność siebie.
Czym są implanty stomatologiczne?
Implanty stomatologiczne to niewielkie śruby wykonane z tytanu, które pełnią funkcję sztucznych korzeni utraconych zębów. Umieszcza się je w kości szczęki lub żuchwy podczas zabiegu chirurgicznego. Dzięki różnorodnym rozmiarom i długościom, implanty można idealnie dopasować do indywidualnych warunków anatomicznych pacjenta. Po zintegrowaniu się implantu z kością, wykonuje się odbudowę protetyczną – koronę, most lub protezę. Skuteczność tego typu leczenia przekracza 95%.
Jak przebiega leczenie implantologiczne?
Proces leczenia implantologicznego polega na stworzeniu trwałej, idealnie dopasowanej odbudowy protetycznej w miejscu utraconych zębów. Implanty zastępują korzenie brakujących zębów, a ich zastosowanie pozwala uniknąć szlifowania zdrowych zębów, co jest konieczne przy tradycyjnych mostach protetycznych.
Podczas specjalistycznego zabiegu implant zostaje wprowadzony w kość, a po okresie integracji trwającym od 3 do 6 miesięcy, mocuje się do niego łącznik oraz koronę zęba.
W przypadku całkowitego braku uzębienia istnieje możliwość odbudowy całego łuku zębowego, opierając się na kilku implantach – w formie stałego mostu lub protezy nakładkowej. Jednym z popularnych rozwiązań jest technika All-on-4 („wszystko na czterech”), umożliwiająca rekonstrukcję całej szczęki lub żuchwy na zaledwie czterech implantach.
Współczesna implantologia, w połączeniu z technikami sterowanej regeneracji kości, otwiera nowe, niezwykle skuteczne możliwości leczenia i rehabilitacji narządu żucia, gwarantując pacjentom wyjątkowy komfort życia.

Dla kogo przeznaczone są implanty?
Implanty to idealne rozwiązanie dla dorosłych pacjentów, którzy oczekują najlepszych, wygodnych i trwałych metod uzupełniania braków w uzębieniu. Szczególnie skorzystają z nich osoby noszące tradycyjne, wyjmowane protezy, które odczuwają związany z nimi dyskomfort lub nie akceptują ich ze względów estetycznych czy psychologicznych.
Utrata zębów może być wynikiem nie tylko chorób (takich jak próchnica czy paradontoza) lub naturalnego starzenia się organizmu, ale również urazów, wypadków czy uprawiania sportu. Niezależnie od przyczyny, implanty stomatologiczne pozwalają na przywrócenie pełnej funkcji żucia i estetyki uśmiechu.
Dlaczego warto zdecydować się na implanty zębowe?
- Estetyka
Odbudowa na implantach pozwala na stworzenie perfekcyjnego, naturalnego uśmiechu. Kształt i kolor zębów dobierane są indywidualnie, zgodnie z oczekiwaniami pacjenta. - Zdrowie
W przeciwieństwie do tradycyjnych protez, implanty nie powodują otarć, nadżerek czy stanów zapalnych. Dodatkowo, pomagają zachować strukturę kości, zapobiegając jej zanikowi. - Przywrócony smak
Implanty nie zakłócają działania kubków smakowych, co pozwala na pełniejsze odczuwanie smaków. - Oszczędność
Leczenie implantologiczne eliminuje konieczność szlifowania sąsiednich zdrowych zębów, wymaganego przy tradycyjnych mostach. - Pewność siebie
Implanty zapewniają stabilność i bezpieczeństwo – nie wypadają i nie przesuwają się, co znacznie poprawia komfort podczas mówienia, jedzenia czy śmiechu. - Komfort
Implanty są trwale zintegrowane z kością, nie trzeba ich zdejmować, co daje pełną swobodę w codziennym życiu – również podczas uprawiania sportu czy podróży. - Funkcjonalność
Implanty przywracają prawidłowe funkcjonowanie narządu żucia, co korzystnie wpływa na zdrowie całego organizmu. - Trwałość
Przy odpowiednim leczeniu, najwyższej jakości systemie implantologicznym i właściwej higienie jamy ustnej, implanty mogą służyć przez kilkadziesiąt lat, zachowując doskonałą estetykę i funkcjonalność.
Standardowa procedura odbudowy zęba na implancie
- Konsultacja implantologiczna
Pierwszym krokiem jest konsultacja z lekarzem implantologiem, podczas której na podstawie wywiadu, badania klinicznego oraz diagnostyki radiologicznej (np. zdjęcia RTG, tomografii) opracowywany jest indywidualny plan leczenia. Na tym etapie lekarz dobiera także odpowiedni rodzaj implantu, dostosowany do warunków anatomicznych pacjenta. - Okres osteointegracji
Po implantacji następuje proces integracji implantu z kością – osteointegracja. W przypadku żuchwy trwa około 3 miesięcy, natomiast w szczęce – od 4 do 6 miesięcy. Na czas zrastania się implantu z kością można zastosować tymczasowe uzupełnienie protetyczne, aby pacjent mógł normalnie funkcjonować i przyzwyczaić się do nowego uzębienia. - Odsłonięcie implantu i założenie śruby gojącej
Po zakończeniu osteointegracji implant zostaje odsłonięty, a śruba zamykająca wymieniana jest na śrubę gojącą. Zabieg przeprowadza się w znieczuleniu miejscowym. Celem jest wykształcenie szczelnego kołnierza dziąsła wokół implantu, co zabezpiecza go przed infekcjami. - Pobranie skanu zębowego
Kolejny etap to pobranie skanu zębowego. Na jego podstawie technik w laboratorium protetycznym wykonuje precyzyjnie dopasowaną koronę, most lub protezę, które zostaną zamocowane na implantach. - Osadzenie pracy protetycznej
Po zatwierdzeniu przez pacjenta kształtu, koloru i wysokości nowych zębów następuje ostateczne zamocowanie odbudowy protetycznej w jamie ustnej. - Wizyta kontrolna
Po kilku dniach od osadzenia pracy protetycznej odbywa się wizyta kontrolna, mająca na celu sprawdzenie poprawności obciążenia nowej konstrukcji oraz ewentualne wprowadzenie korekt. Indywidualne warunki kostne pacjenta mogą wpływać na długość leczenia i rekonwalescencję, a w niektórych przypadkach możliwe jest przyspieszenie procesu odbudowy. - Zalecenia i opieka po zabiegu
Pacjent powinien ściśle przestrzegać zaleceń lekarza dotyczących higieny jamy ustnej, diety, ograniczenia używek oraz regularnych wizyt kontrolnych. O implanty należy dbać równie starannie jak o naturalne zęby, aby zapewnić im trwałość i zdrowie na długie lata. - Trwałość
Przy odpowiednim leczeniu, najwyższej jakości systemie implantologicznym i właściwej higienie jamy ustnej, implanty mogą służyć przez kilkadziesiąt lat, zachowując doskonałą estetykę i funkcjonalność.
Przed rozpoczęciem leczenia implantologicznego konieczne jest także wyleczenie wszystkich zębów oraz dokładna higienizacja jamy ustnej – usunięcie kamienia nazębnego i ognisk zapalnych, które mogą stanowić zagrożenie dla powodzenia zabiegu.
Rodzaje odbudowy zębów na implantach
Odbudowa pojedynczego zęba
To szybki i skuteczny zabieg, który pozwala na trwałe uzupełnienie braku zęba. Implant nie tylko przywraca funkcję żucia, ale również zapobiega zanikowi kości, a korona jest idealnie dopasowana do naturalnego uzębienia.
Odbudowa kilku zębów
W przypadku większych braków możliwa jest odbudowa kilku zębów na kilku implantach – już na dwóch implantach można osadzić most protetyczny zastępujący 3–4 zęby.
Odbudowa całego łuku zębowego
W przypadku bezzębia istnieje możliwość zastosowania wyjmowanej protezy mocowanej na 2 lub 4 implantach. Jeśli warunki kostne są odpowiednie, cały łuk zębowy może zostać odtworzony za pomocą mostu przykręcanego do 4 lub 6 implantów.
Odbudowa w przypadku deficytu kości
Utrata zębów często prowadzi do zaniku kości. W takich sytuacjach stosuje się zabiegi odbudowy kości – wykorzystując kość własną pacjenta, materiały kościozastępcze lub czynniki wzrostu pozyskane z krwi pacjenta. Prawidłowe przygotowanie podłoża kostnego jest kluczowe dla sukcesu implantacji.
Proces leczenia implantologicznego
Implantologia w Gerczew Stomatologia Estetyczna to starannie zaplanowany, inteligentny proces, w którym priorytetem są precyzja, jakość, komfort oraz bezpieczeństwo pacjenta. Dzięki zastosowaniu najnowocześniejszych metod leczenia estetycznego, łączących chirurgię stomatologiczną, ortodoncję, protetykę, implantologię oraz sterowaną regenerację kości, umożliwiamy pełną metamorfozę uzębienia i kreację wymarzonego uśmiechu – bez kompromisów.
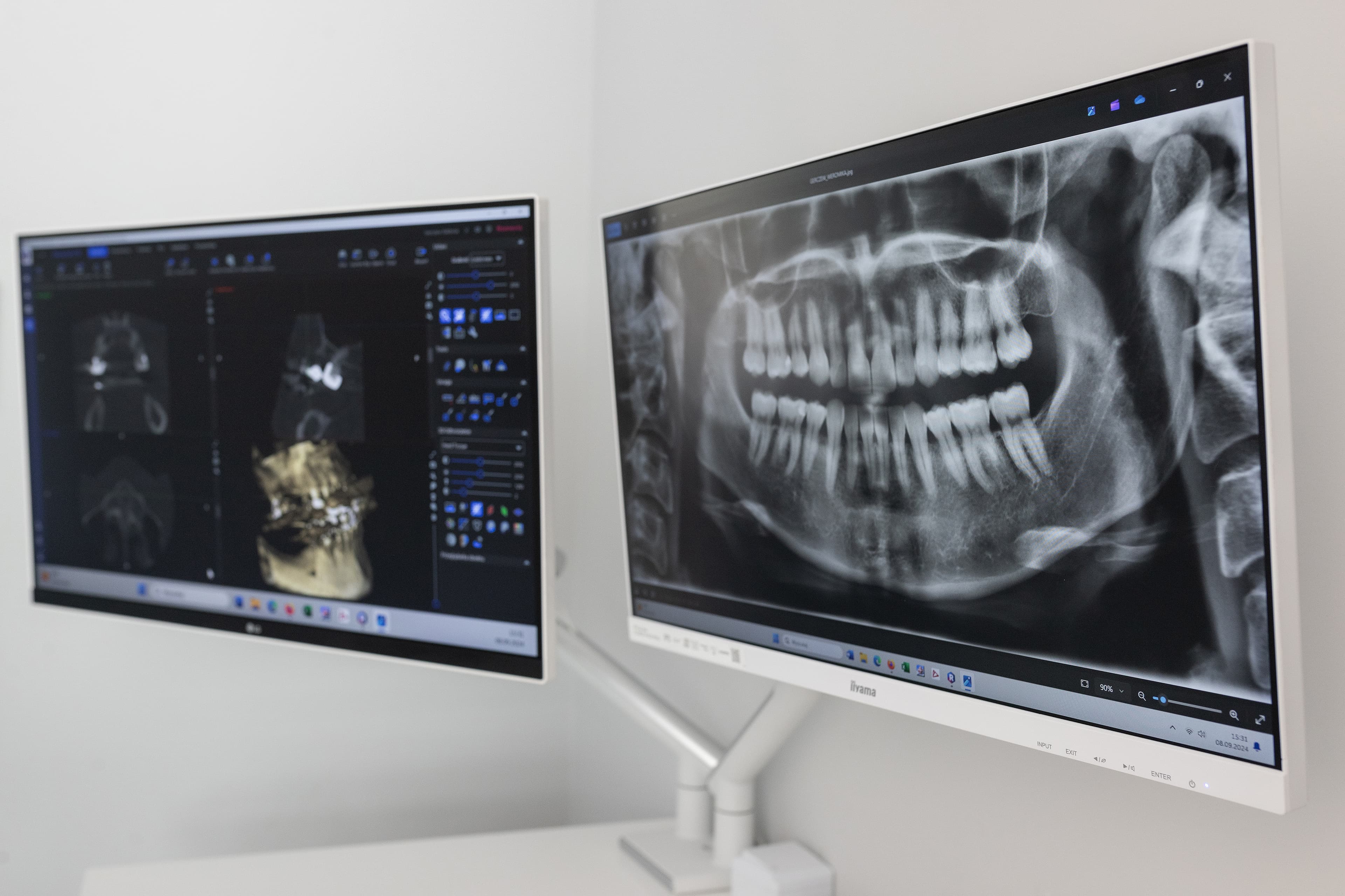
W codziennej praktyce korzystamy z najnowocześniejszych technologii diagnostycznych: tomografii komputerowej Planmeca do oceny ilości i jakości kości oraz skanera wewnątrzustnego Trios 3Shape, który precyzyjnie odwzorowuje anatomię jamy ustnej.
Dodatkowo wykorzystujemy zaawansowane oprogramowanie do wirtualnego planowania rozmieszczenia implantów oraz projektowania przyszłych odbudów protetycznych.
Każdy etap leczenia implantologicznego jest szczegółowo zaplanowany, uwzględniając indywidualne potrzeby pacjenta oraz anatomiczne warunki. Dzięki innowacyjnym technologiom oferujemy minimalnie inwazyjne zabiegi i możliwość wykonania natychmiastowych odbudów protetycznych, co znacząco skraca czas leczenia i zwiększa komfort Pacjenta.
